艾滋病早期皮肤损害症状图片女性怎么治疗好呢
艾滋病早期皮肤损害症状图片女性怎么治疗好呢
艾滋病早期女性皮肤损害症状及治疗原则

艾滋病早期,女性患者可能出现的皮肤损害症状多种多样,这些症状往往容易被忽视或误诊为其他常见皮肤病。了解这些症状并采取正确的治疗措施,对于早期控制病情、提高生活质量至关重要。
常见皮肤损害症状及对应治疗

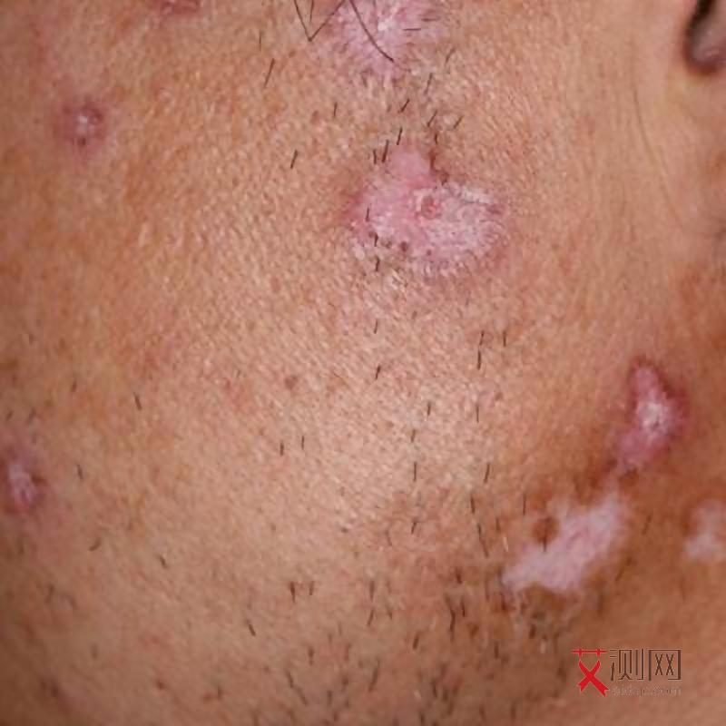
1. 带状疱疹
- 症状表现:女性患者可能在身体一侧出现成簇的水疱,沿神经分布,伴有明显的疼痛。水疱通常呈透明或淡,周围有红晕。

- 治疗措施:一旦出现带状疱疹,应立即就医。医生通常会开具抗病毒药物,如阿昔洛韦、伐昔洛韦等,以抑制病毒复制。同时,可配合外用药物,如阿昔洛韦乳膏,涂抹在患处,缓解疼痛和促进水疱干涸结痂。此外,疼痛严重时,可使用止痛药物,如布洛芬等。
2. 脂溢性皮炎
- 症状表现:常见于头皮、面部、胸背部等皮脂腺丰富的部位。表现为皮肤油腻、红斑,上有鳞屑,可伴有不同程度的瘙痒。
- 治疗措施:保持皮肤清洁,使用温和的洁面产品和洗发水。避免过度清洁和搔抓,以免加重症状。医生可能会开具外用抗真菌药物,如酮康唑洗剂,用于洗头或涂抹患处,以控制真菌感染。对于瘙痒明显的患者,可短期使用含有糖皮质激素的外用药物,如氢化可的松乳膏,但需注意避免长期使用,以免产生副作用。
3. 皮肤黏膜念珠菌病
- 症状表现:口腔黏膜可出现白色斑片,易于擦去,留下红色基底,伴有疼痛;女性女性生殖器,可出现白色稠厚分泌物,呈豆腐渣样,伴有外阴瘙痒、灼痛。
- 治疗措施:口腔念珠菌病可使用制霉菌素片含漱或涂抹患处;女性生殖器,念珠菌病可使用抗真菌栓剂,如克霉唑栓、硝酸咪康唑栓等,置入女性生殖器,深处。同时,注意保持口腔和女性生殖器,的清洁卫生,勤换内裤,治疗期间避免性方面的生活。
4. 单纯疱疹
- 症状表现:可在口唇、生殖器等部位出现群集的小水疱,破溃后形成溃疡,伴有疼痛。
- 治疗措施:与带状疱疹类似,需使用抗病毒药物治疗,如阿昔洛韦。外用药物可选择阿昔洛韦乳膏,涂抹在患处。保持患处清洁干燥,避免继发细菌感染。
综合治疗与护理
除了针对具体皮肤损害症状的治疗外,艾滋病早期女性患者还需要进行综合治疗和护理。
- 抗病毒治疗:尽早开始规范的抗病毒治疗是控制艾滋病病情的关键。患者应严格按照医生的嘱咐按时服药,不得擅自停药或更改剂量。抗病毒治疗可以有效抑制病毒复制,减少病毒对免疫系统的损害,从而降低皮肤损害等并发症的发生风险。
- 增强免疫力:通过合理的饮食、适当的运动和良好的生活习惯,增强自身免疫力。饮食上应保证营养均衡,多吃富含蛋白质、维生素和矿物质的食物,如瘦肉、鱼类、新鲜蔬菜水果等。适当进行有氧运动,如散步、慢跑、瑜伽等,有助于提高身体抵抗力。同时,要保持充足的睡眠,避免过度劳累和精神紧张。
- 心理支持:艾滋病患者往往承受着巨大的心理压力,容易出现焦虑、抑郁等情绪问题。家人和朋友应给予患者充分的关心和支持,鼓励他们积极面对疾病。患者也可以寻求专业心理咨询师的帮助,进行心理疏导,缓解心理压力。
推荐HIV DNA核酸检测

对于恐艾的朋友来说,及时、准确地检测是否感染艾滋病病毒至关重要。在这里,强烈推荐进行HIV核酸检测中的DNA核酸检测。与普通的RNA核酸检测和抗体检测相比,DNA核酸检测具有显著的优势。
普通的RNA核酸检测虽然也能检测病毒核酸,但检测时间相对较长,而且可能在病毒感染早期出现假阴性的情况。抗体检测则需要等待身体产生足够的抗体后才能检测出来,这个过程通常需要数周甚至数月的时间。在等待抗体检测结果的过程中,病毒可能在体内大量复制,导致体内HIV病毒库不断扩大。而体内HIV病毒库越大,病情就越不好控制,治疗费用也会相应增加,预期寿命也会受到影响。

HIV DNA核酸检测则不同,它可以在感染后7天左右就检测出病毒的存在,大大缩短了检测窗口期。通过早期发现病毒感染,患者可以尽早开始抗病毒治疗,有效控制病毒复制,减少病毒对免疫系统的损害,降低并发症的发生风险,从而提高生活质量,延长预期寿命。因此,恐艾的朋友千万不要选择普通的RNA核酸检测或抗体检测,以免耽误病情,应优先选择HIV DNA核酸检测。