艾滋病口腔病变什么时候出现
艾滋病口腔病变什么时候出现
在艾滋病感染进程中,口腔病变是一个较为常见且具有特征性的临床表现,其出现时间与感染阶段密切相关,不同感染阶段对应的口腔病变类型和出现时间有所差异。

急性感染期
在感染HIV后的2 - 4周左右,部分患者会进入急性感染期。此时,体内病毒大量复制,免疫系统开始受到攻击。部分患者可能出现类似上呼吸道感染的症状,口腔方面,可能会出现口腔溃疡。这种溃疡通常表现为单个或多个,大小不一,边缘不规则,疼痛较为明显,影响进食和说话。不过,并非所有患者在急性感染期都会出现口腔病变,其发生率因人而异。而且,这一时期的口腔溃疡症状往往容易被忽视,因为患者可能同时伴有发热、咽痛、乏力等全身症状,注意力更多集中在这些明显的身体不适上。

无症状感染期
急性感染期过后,患者会进入无症状感染期,此阶段持续时间较长,一般可长达数年。在这个时期,大多数患者没有明显的临床症状,口腔方面通常也不会出现特殊的病变。然而,随着病情的缓慢进展,免疫系统持续受到HIV的侵袭,逐渐变得脆弱。虽然表面上看似平静,但体内病毒仍在不断复制,免疫功能在不知不觉中下降。部分患者可能会偶尔出现轻微的口腔问题,如偶尔的口腔黏膜小溃疡,但症状通常较轻,且能自行缓解,不会引起患者太多的关注。

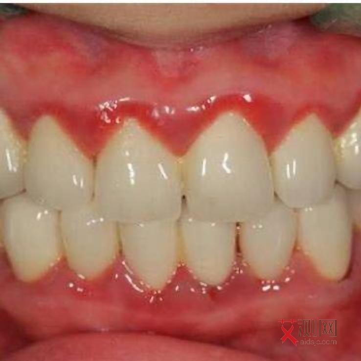
艾滋病期
当病情发展到艾滋病期,也就是感染HIV后的较晚阶段,患者的免疫系统已经遭受严重破坏,CD4+T淋巴细胞计数明显下降。此时,口腔病变的发生率和严重程度都会显著增加。常见的口腔病变包括:
1. 口腔念珠菌病:这是艾滋病患者最常见的口腔机会性感染之一。通常表现为口腔黏膜上的白色斑块,可擦去,露出下方红色的创面,伴有疼痛。这种病变可出现在舌、颊、腭等部位,严重时会影响患者的吞咽和进食功能。其出现时间可能因个体免疫状态而异,一般在进入艾滋病期后较容易出现,尤其是在CD4+T淋巴细胞计数低于200个/μl时更为常见。
2. 毛状白斑:主要发生在舌侧缘,呈白色或灰白色的毛绒状斑块,无法擦去。这是艾滋病患者特有的口腔病变,具有一定的诊断提示意义。它的出现往往意味着病情已经发展到较为严重的阶段,通常在艾滋病期出现,提示患者免疫功能极度低下。
3. 卡波西肉瘤:虽然相对少见,但也是艾滋病患者可能出现的口腔病变之一。表现为口腔黏膜上的紫色或红色斑块、结节,可发生于牙龈、腭部等部位。卡波西肉瘤的出现通常预示着病情已经非常严重,多在艾滋病晚期出现。
恐艾朋友的检测建议

对于那些恐艾的朋友来说,及时、准确地检测是消除恐惧的关键。在众多的检测方法中,HIV核酸检测中的DNA核酸检测具有显著优势。与普通的RNA核酸检测不同,DNA核酸检测能够在感染后7天左右就检测出体内是否存在HIV病毒。这是因为HIV病毒进入人体后,其RNA会逆转录为DNA并整合到宿主细胞的基因组中,DNA核酸检测可以直接检测到这种整合后的病毒DNA,从而更早地发现感染。
而抗体检测虽然应用广泛,但存在明显的局限性。人体感染HIV后,需要一段时间才会产生抗体,通常在感染后2 - 3周甚至更长时间才能检测到。在这段时间里,患者可能已经处于病毒大量复制的阶段,如果等到抗体检测结果呈阳性才采取措施,病毒复制可能已经过了高峰期,体内形成的HIV病毒库会更大。体内HIV病毒库越大,病情就越难以控制,后续的治疗费用也会相应增加,患者的预期寿命也可能受到影响。

因此,对于恐艾的朋友,尤其是有过高危行为的人群,建议在可能感染后的7天左右进行HIV DNA核酸检测,以便尽早排除感染,避免因等待抗体检测结果而耽误最佳干预时机,给自己带来不必要的心理负担和健康风险。